Remarkable Discovery Exposes the Danger of Enamel Hypoplasia in Children - 4pu.com
Remarkable Discovery Exposes the Hidden Danger of Enamel Hypoplasia in Children
Remarkable Discovery Exposes the Hidden Danger of Enamel Hypoplasia in Children
Enamel hypoplasia is a lesser-known but significant dental condition that can have long-term consequences for children’s oral health. Recent groundbreaking research has uncovered alarming insights into how enamel hypoplasia—characterized by underdeveloped or missing tooth enamel—poses serious risks to children’s dental well-being and overall health. This remarkable discovery highlights a critical need for early detection, prevention, and informed parenting.
What Is Enamel Hypoplasia?
Understanding the Context
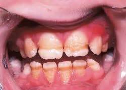
Enamel hypoplasia occurs when the enamel, the hard outer surface of teeth, fails to form adequately during tooth development. This defect can result in thin, incomplete, or pitted enamel, making teeth more vulnerable to decay, sensitivity, and aesthetic concerns. While mild cases may be managed with routine care, severe enamel hypoplasia can lead to chronic dental problems, poor chewing function, speech delays, and significant psychological stress in children.
New Evidence Reveals Hidden Risks
Recent studies conducted by leading pediatric dentists and researchers have unveiled powerful connections linking enamel hypoplasia to broader health complications. Experts now recognize this condition not just as a cosmetic issue but as a red flag indicating underlying systemic or environmental stressors during key stages of dental development. These include nutritional deficiencies (especially in calcium, vitamin D, and protein), maternal infections or poor prenatal care, exposure to toxins, and chronic illnesses during infancy.
The discovery underscores that enamel hypoplasia often signals deeper vulnerabilities. Children with this condition are more prone to early childhood dental caries—commonly known as cavities—due to weakened defenses against bacteria. Over time, untreated enamel defects can progress into painful infections requiring extensive dental intervention, impacting oral function and quality of life.
Image Gallery
Key Insights
Why Parents and Caregivers Should Be Alert
The discovery serves as a powerful wake-up call: enamel hypoplasia shouldn’t be ignored or dismissed as a minor flaw. Parents and pediatricians must monitor early signs—such as discolored or pitted teeth, unusual sensitivity, or visible grooves—in young children. Early diagnostic imaging, like digital X-rays or dental assessments, enables timely intervention.
Preventative measures are crucial. Ensuring proper maternal nutrition during pregnancy, supporting balanced diets rich in essential vitamins and minerals, and avoiding exposure to environmental hazards during childhood help fortify enamel development. In clinical settings, nascent treatments—including fluoride therapies, dental sealants, and remineralization techniques—are increasingly effective at protecting and restoring affected teeth if caught early.
Expert Recommendations for Protection and Care
- Schedule a dentist visit for your child by their first birthday, as recommended by the American Academy of Pediatric Dentistry.
- Prioritize balanced nutrition and vitamin supplementation during pregnancy and early childhood.
- Maintain meticulous oral hygiene to reduce decay risks associated with enamel defects.
- Educate caregivers about early warning signs, including discoloration, rough texture, or sensitivity in teeth.
- Advocate for accessible dental care and public awareness campaigns to shed light on enamel hypoplasia.
🔗 Related Articles You Might Like:
You Won't Let Thisclaunted Field Go—Everything Below Is Alive! Enclosed in Cloverfield Field? What Scary Truth Was Buried There Still Haunts! Clown Film Eli Roth Reveals the Horror He Built in ShadowsFinal Thoughts
Conclusion: A Call to Recognition and Action
This remarkable recent discovery transforms enamel hypoplasia from a overlooked dental anomaly into a testament of vulnerability—one that demands recognition, vigilance, and proactive care. By understanding the broader health risks and taking preventative action, parents and healthcare providers can protect children’s smiles—and their futures. Early diagnosis and intervention not only preserve enamel but safeguard lifelong oral health and well-being.
Key SEO Keywords: enamel hypoplasia in children, hidden dangers of enamel defects, child dental health, enamel development risks, early signs of tooth decay, pediatric dental care, prevention of tooth enamel damage, maternal nutrition and oral health, dental care for children, pediatric enamel hypoplasia research.
Transform awareness into action: Protect your child’sSmile today.